歯の色を白くするには
1.歯のクリーニング
2.歯のホワイトニング
1.歯のクリーニング
「毎日歯を磨いてはいるけど、着色が気になる・・・」そんなお悩みをお持ちの方が
多いものです。
毎日ブラッシングをしていても、一度着色してしまうと通常のブラッシングをしても
自分では取ることができません。
このような場合には、歯科医院での定期的な除去が必要になります。
歯の変色の原因は外因性のものと内因性のものの二つに分けられます。
外因性のもの
@)紅茶、コーヒーなどの飲食物の色素や、たばこの汚れが歯に付着したもの
→歯のクリーニング(機械的な清掃・研磨)によって取り除くことが出来ます
クリーニング前…奥歯の横の面に茶しぶによる着色があります

歯のクリーニング後
A)ムシ歯や、ムシ歯を治療した部分の変色など
→ その部位の(再)治療をします
内因性のもの
→ 歯のクリーニングでは対処が難しく、差し歯などの歯科治療が必要です
@) 加齢による黄ばみ… 歯の表層のエナメル質が次第に磨耗して薄くなり、
内部の象牙質の黄色みを帯びた色が透過しやすくなる
ことにより黄ばんで見えます
A)薬剤によるものテトラサイクリンによる変色や、高濃度のフッ素による歯の白斑など
B)ムシ歯の治療で神経をとった歯の変色
2.歯のホワイトニング
身体に安全な薬剤を使用し、歯を削ることなく白く透明感のある歯が得られる方法です。
《ホワイトニングのメリットとデメリット》
メリット
1.自分の歯を削らずに白くなる
2.麻酔を使用しない
3.2〜3回の来院で白くなる
4.自宅でも可能である
5.削ってかぶせるよりも経済的である
6.痛みを伴わないので心理的負担がない
デメリット
1. 効果は半年〜約2年程度である
2. 半年〜1年に1度メインテナンスが必要となる
3. 一過性の知覚過敏を生ずることがある
《ホワイトニングの種類》
オフィスホワイトニング
歯の表面に薬剤(35%過酸化水素)を塗り、その上から専用の光を照射させる方法で
クリニックで行います。
通常2〜3回の処置で歯が白くなります。
ホ―ムホワイトニング
患者さん専用のカスタムトレーを製作し、自宅で薬剤を注入し、
通常は、夜間に装着して頂きます。
それを2〜3週程度続けていただきます。
デュアルホワイトニング
オフィ-スホワイトニングとホ-ムホワイトニングを組み合わせることにより
効率よく白く輝く歯を手に入れることができます。
ホワイトニングを希望される場合には、
事前に十分な診査と、治療後に得られる“白さ”の程度や、費用などについての
詳しい説明を受けていただく必要があります。
ホーム・ホワイトニングは,専用の薬剤と患者さん個々のお口に合わせて作製した
トレーを用いて歯を白くする治療です。
安全に、しかも十分な効果を得るためには次のような注意を必ず守って下さい。
〈はじめに〉
1.この処置によりタバコ,飲食物ならびに加齢による歯の変色に効果があります。
2.指示通り行うと通常2〜3週間で安定した結果が得られます。
ただし,歯の色の濃さや変色した原因によっては治療期間が長くなったり,
十分な漂白効果が得られない場合があります。
〈ホワイトニングの治療の流れ〉
1.カウンセリング
2.クリ-ニング、色見本と一緒に歯の写真を撮る、お口の型をとる
3.トレーとフッ素ジェルをお渡しして、使用法を説明
4.ホ-ムホワイトニング
5.ホワイトニングの効果判定
〈トレーの装着〉
1.トレーを装着する前に必ず丁寧に歯を磨いて下さい。
歯に汚れが付着しているとホワイトニングの効果が低下し,また虫歯の原因にも
なります。
2.歯の前面に接触する部分のトレー内面にジェルを注入して下さい。
各歯に米粒半分〜一粒大に塗布するだけで十分です。
トレー1つにシリンジの大きな目盛り1目盛りが目安です。
3.トレーをお口の中にきちっと装着して下さい。
トレーからジェルがはみ出した場合は余分なジェルを綿棒,脱脂綿,ガーゼ等で
除去して下さい。
4.トレー装着中の飲食,喫煙は避けて下さい。
5.1日1回2,3時間を目安に装着して下さい。長時間の装着は知覚過敏の原因に
なります。
〈清掃と保管〉
1.トレー撤去後ぬるま湯を用いて歯ブラシもしくは十分なうがいで歯からジェルを
除去して下さい。
2.トレー撤去後30分は飲食を避けるとより効果的です。
ホワイトニング直後は通常よりも着色しやすい状態にあります。
3.使用後のトレーは歯ブラシで優しく清掃後,乾燥後ケースに保管して下さい。
湿ったままにして放置しますとカビが生えることがあります。
4.ジェルはきちんとキャップをして冷暗所で保管して下さい。
〈注意事項〉
1.冷たいもの,熱いものに対する一時的な知覚過敏症が発生することがあります。
放置していてもまもなく収まりますが,念のためスタッフにご相談下さい。
2.トレーにジェルを過剰に注入しますと,一時的な歯ぐきの炎症が起こることが
あります。
歯ぐきが痛む時にもスタッフにご相談下さい。
3.ホワイトニング中は,フッ素を含む歯磨剤の使用は避けて下さい。ホワイトニング
の効果が落ちますので治療終了後から使用して下さい。専用の歯磨き剤の使用を
お勧めします。
4.薬剤が目に入った場合,手や衣服についた場合には水でよく洗い落として下さい。
5.薬剤は歯の詰め物や,冠には影響を与えません。
6.ホワイトニング治療が全て終了した後24時間は,コーヒー,紅茶,赤ワイン,
コーラ,ウーロン茶など着色性の飲食物を避けて下さい。
7.4か月〜6か月に一回定期的な歯のチェックを受けてください。
8.数ヶ月から数年でホワイトニング効果が落ちる後戻り現象が起こることがあります。
これはその方の食生活や歯の変色原因によって様々です。
その時に必要があればタッチアップ〈追加漂白〉を行うことがあります。

お口の型(模型)に合わせて 出来上がったトレー ホワイトニングジェル注入
トレーを作製

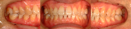
ホワイトニング施術前 施術後
|